"
저희는 박리다매 공장식 진료가 아닌
고객 한 분 한분에게 충분한 시간과 정성을 쏟는
환자 맞춤형 진료를 추구합니다
"
80대 환자분의 임플란트 & 틀니 치료 이야기
왕복 3시간 거리, 삶의 자신감을 되찾기까지
안녕하세요.
디에스다솜 신운철 원장입니다.
오늘은 80대 환자분의 보험 임플란트와 부분틀니 치료 사례를 소개드립니다.
치과 치료를 망설이시는 분들께 용기와 현실적인 정보를 함께 전하고자 합니다.
???? “이 나이에 굳이 해야 할까?”
환자분은 밀양에서 오신 80대 어르신으로,
수년간 치아가 빠진 상태로 지내오셨습니다.
“틀니도 안 하고 그냥 죽 먹으면 되지…”

그렇게 몇 년을 버티셨지만,
어느 날 문득 “이렇게는 더는 못 살겠다”는 마음으로
왕복 3시간 거리의 부산 동래구치과를 찾아주셨습니다

???? 멀리서도 찾아오신 이유
환자분은 예전에 치료받은 지인의 추천으로 오셨습니다.
“멀어도 믿을 만한 곳”
기차와 지하철을 갈아타야 하는 거리지만,
정확한 진단과 신뢰할 수 있는 진료가 더 중요하다고 판단하셨다고 합니다.

처음 상담 때는
보험 적용 범위,
꼭 필요한 치료 부위,
사용 가능 기간 등을 꼼꼼히 질문하셨고,
저희는 모든 질문에 진심으로 답변드리며 현실적인 치료 계획을 함께 세웠습니다.

무리하지 않고, 꼭 필요한 만큼만
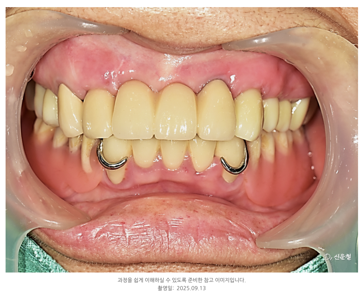
정밀검사 결과, 전체 임플란트는 부담이 커서
다음과 같이 계획했습니다.
윗니: 임플란트 6개 (보험 2개 포함)
아랫니: 부분틀니 + 크라운 보강

???? 비용 부담은 절반 이상 줄이면서
식사, 발음, 외적인 만족도 모두 개선되었습니다.

???? 치료 결과
수개월의 치료 끝에, 환자분께서 거울을 보며 하신 말씀입니다.
“이제는 정말, 나도 사람 같네요.”

그 한마디에 진료실이 조용해졌습니다.
식사도, 웃음도, 자신감도 되찾으셨고
“멀리서 왔지만 여기서 치료받길 잘했다”고 웃으셨습니다.

“가능하다고 다 하는 것이 아니라,
필요한 만큼만 정확히 치료하는 것.
그것이 환자분께 가장 현실적이고 안전한 방법입니다.”
저희 디에스다솜치과는
과잉진료보다 현실적인 치료 계획을 중요하게 생각합니다.
치료의 목표는 단순히 치아를 만드는 것이 아니라,
환자분이 다시 웃고, 다시 삶을 즐길 수 있도록 돕는 것입니다.
임플란트나 틀니를 고민 중이신 분들께 전해드리고 싶습니다.
“중요한 건 나이가 아니라, 어떤 판단으로 시작하느냐입니다.”
무리하지 않고 필요한 곳만 정확히 치료하면
누구나 충분히 좋은 결과를 얻을 수 있습니다.