
한 번도 치과에 와본 적 없던 40대 남성,
구서동치과에서 임플란트 치료를 시작하기까지
안녕하세요. 치과의사 신운철입니다.
이번 글은
치과 공포로 인해 한 번도 치과 치료를 받아본 적 없었던
40대 남성 환자분의 치료 과정을 기록한 사례입니다.

“치과가 너무 무서워서 한 번도 못 왔어요”
40대 남성분이 디에스다솜치과에 처음 내원하셨습니다.
치과에 대한 공포가 심해
지금까지 치과 진료 자체를 한 번도 받지 못한 상태였습니다.
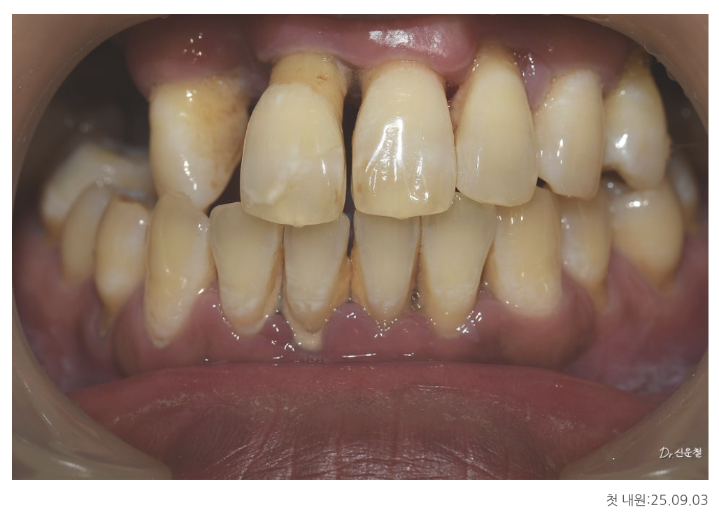
입안 상태, 진단에 오래 걸리지 않았습니다
구강 검진 결과는 생각보다 빠르게 나왔습니다.
다수의 치아 상실
앞니만 일부 남아 있는 상태
연령은 40대였지만, 진단의 첫 단어는 ‘틀니’였습니다
이 나이에서 틀니 이야기를 꺼내는 일은
의료진에게도 쉽지 않은 선택입니다.
하지만 환자분의 구강 상태는 이미 그 단계에 가까워져 있었습니다.



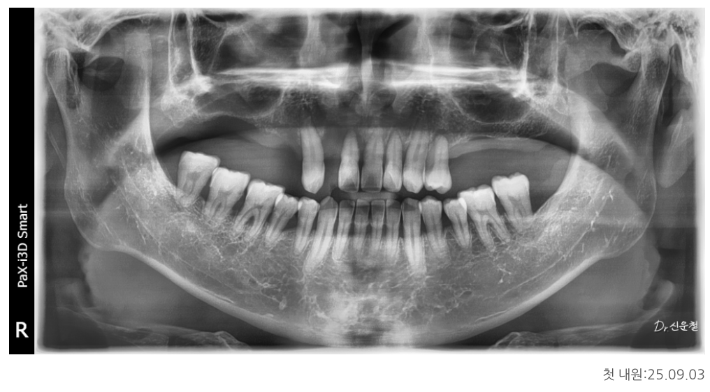
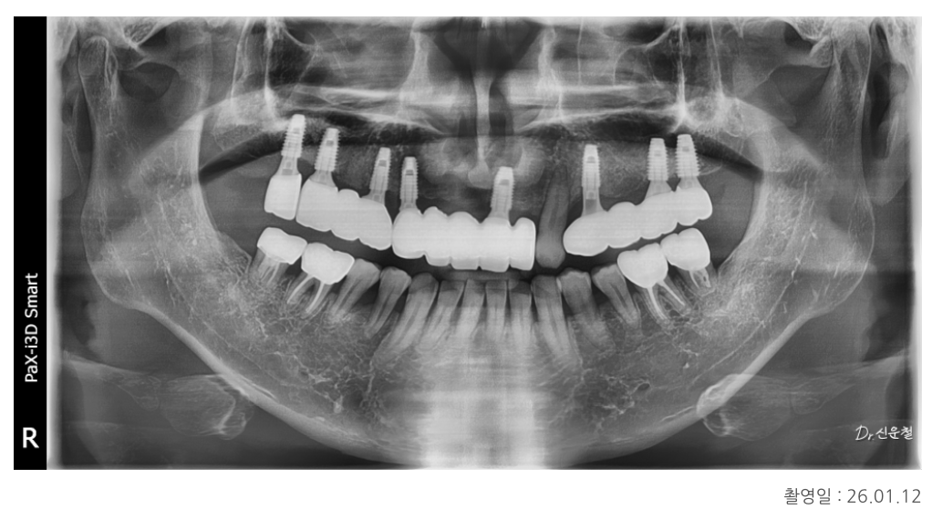
위턱·아래턱 상태 정밀 진단
위턱
남아 있는 치아 중 좌측 견치 1개만 보존 가능
견치는 뿌리가 길어 치조골 지지력이 비교적 좋은 치아
그 외 치아는 염증이 심하고 치조골 지지가 어려운 상태

아래턱
사랑니 발치 필요
양측 어금니는 신경치료 후 보철 치료가 불가피한 상태
치아보다 더 어려웠던 문제, ‘치과 공포’
이 환자분에게 가장 큰 문제는 치아 상태가 아니라 치료 과정 자체였습니다.
치과 의자에 눕는 순간
몸에 힘이 들어가고
호흡이 불안정해지며
코로 숨 쉬는 것조차 어려운 상태
그래서 이 케이스는
치아 치료보다 ‘치료를 진행할 수 있는 환경을 만드는 것’이 먼저였던 사례였습니다.
틀니 대신 임플란트를 선택한 이유
구강 상태만 보면 틀니도 고려할 수 있었지만,
환자분의 연령과 앞으로 사용할 시간을 함께 고려했습니다.
그래서 구서동치과에서는
틀니가 아닌 임플란트 치료를 기준으로
단, 무리하지 않고 단계적으로 진행하는 것을 전제로 치료 계획을 세웠습니다.

치과 공포를 줄이는 것부터 치료를 시작
치과 공포가 심해
특히 마취 단계에서 부담을 크게 느끼는 상태였기 때문에
극미세침 마취기를 사용
마취 자극과 통증을 최소화
환자의 호흡과 반응을 계속 확인하며 치료 속도를 조절
치료는 항상
“가능한 만큼만, 환자가 받아들일 수 있는 속도”로 진행했습니다.


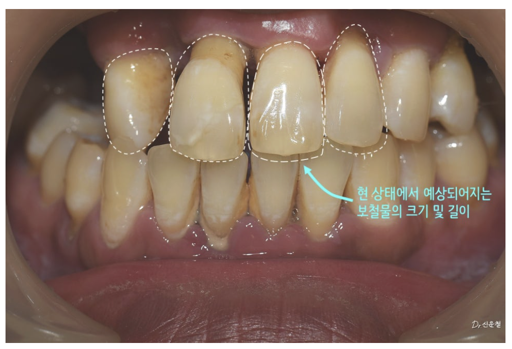
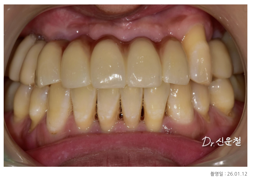
앞니는 일부 남아 있었지만
오랜 염증으로 인해 치아를 지지하던 뼈가 많이 흡수된 상태였습니다.
잇몸뼈가 줄어들면
잇몸은 함께 내려가고
내려간 잇몸은 다시 올라오지 않습니다
이 경우 보철물을 만들면
앞니가 길어 보일 수밖에 없는 구조가 됩니다.


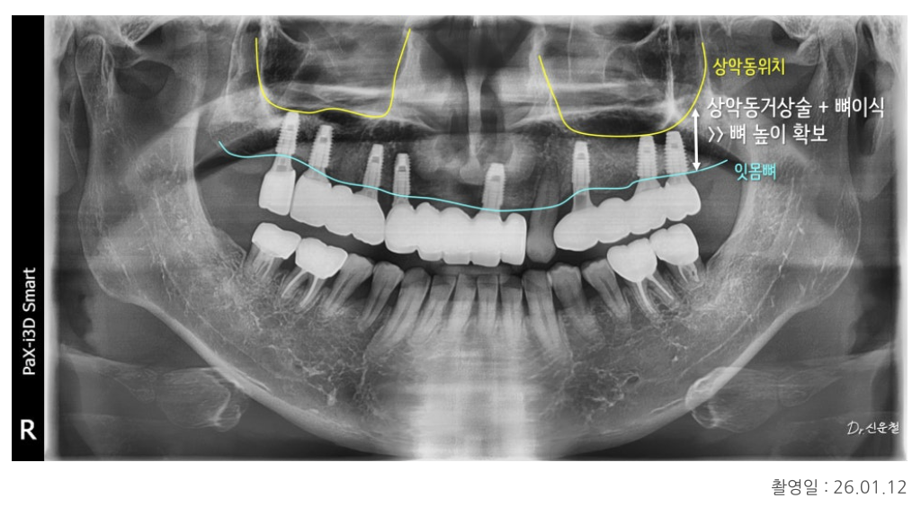
상악동 거상술을 통한 기초 치료
위턱 어금니 부위는
오래전 치아를 상실해 임플란트를 바로 심기엔 뼈 높이가 부족했습니다.

그래서 먼저
상악동 거상술을 통해
위턱 안쪽 공간을 들어 올리고
임플란트를 지지할 수 있는 뼈를 보강한 뒤
단계적으로 임플란트 치료를 진행했습니다.

앞니는 ‘치아 + 잇몸’을 함께 고려
임플란트 식립 후 보철 단계에서
특히 앞니는 더 신중하게 접근했습니다.

치조골이 전반적으로 내려간 상태였기 때문에
단순히 치아 색 보철물만 사용하면
앞니가 부자연스럽게 길어 보일 수 있었습니다.

그래서
치아 부분은 치아 색으로
잇몸이 있어야 할 위치에는 잇몸처럼 보이는 핑크 보철을 함께 표현해
자연스러운 인상을 만들었습니다.


“웃을 때 입을 가리지 않게 됐어요”
치료가 마무리된 후
환자분께서 이런 말씀을 하셨습니다.
“웃을 때 입을 가릴 필요가 없어졌어요.”
출처 입력
거울을 자주 보게 되고
웃는 연습을 하게 됐다는 말이 인상 깊었습니다.

이번 케이스는
치아 개수만 보면 틀니를 고려할 수 있었지만
연령, 향후 사용 기간, 심한 치과 공포를 함께 고려해
임플란트를 기준으로 치료 방향을 설정한 사례였습니다.
기능 회복뿐 아니라
앞니의 모양, 인상, 심리적인 변화까지 함께 고민한 치료였습니다.
디에스다솜치과의 치료 기준
다솜치과에서는
치료 범위나 개수만으로 결정을 서두르지 않습니다.
지금 내 입안이 어떤 상태인지
어떤 선택지가 가능한 단계인지
어떤 속도로 진행하는 것이 맞는지
부터 차분히 확인하는 과정을 중요하게 생각합니다.
치과 치료를 고민하고 계시다면
먼저 현재 상태와 가능한 방향부터 상담을 통해 확인해 보시길 바랍니다.