원장님 칼럼

D.S. 다솜치과를 방문해주시는 고객님을 위한
유용한 치과정보 게시판입니다.

Doctor Column
임플란트 2025.11.10

수면마취 안 하고도 임플란트 편하게 치료받을 수 있을까?



안녕하세요.

온천장치과 신운철 원장입니다.

치과 치료를 미루는 가장 큰 이유,

바로 ‘두려움’ 때문이죠.

기계음, 마취주사, 치과 냄새만 떠올려도

심장이 두근거리고 손에 땀이 나는 분들이 많습니다.





치료를 미루던 30대 여성 환자

이번에 내원하신 환자분은

치과 공포증으로 오랫동안 진료를 미루어온 30대 초반 여성이었습니다.

통증이 반복되었지만

“치과는 너무 무서워요”라는 생각 때문에

쉽게 내원하지 못하셨죠.

그러던 중, 지인 원장님의 추천으로

어머니와 함께 용기를 내어 저희 병원을 찾아오셨습니다.





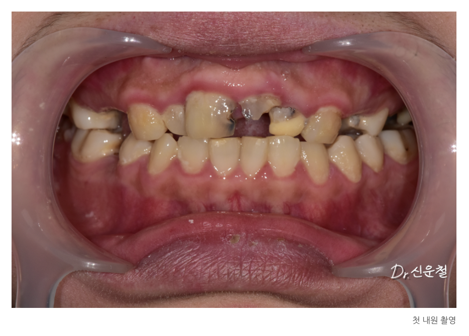
진단 결과

여러 부위의 충치와 결손치,

그리고 임플란트가 필요한 부위가 확인되었습니다.

처음에는 수면치료를 고려하셨지만

매번 전신마취는 부담이 크기 때문에

진정요법(의식하진정)과 무통마취를 병행하여

치료를 진행하기로 했습니다.





진정요법이란?

수면마취처럼 완전히 잠드는 것이 아니라

‘살짝 졸린 상태’에서 치료를 받는 방법입니다.

의식은 유지되지만 불안감이 줄고

치료 중 기억이나 공포가 거의 남지 않아

“편안하게 치료받았다”는 만족도가 높습니다.

무통마취는 마취액을 천천히 일정한 압력으로 주입해

따끔한 통증 없이 마취가 이뤄지도록 도와줍니다.



 





진료의 첫 단계는 ‘불안 낮추기’

환자분은 치과 의자에 앉는 것조차 힘들 정도로

긴장 반응이 심했습니다.

그래서 저희는 처음부터 빠른 치료보다

상담 시간을 충분히 확보하는 것부터 시작했습니다.

어떤 치료가 필요한지

사용하는 장비와 통증 조절 방법은 무엇인지

각 단계에서 무엇을 느끼실 수 있는지

이 모든 과정을 미리 설명드리며

예측 가능한 진료 환경을 만들어 드렸습니다.





치료 진행

1차 치료: 뿌리만 남은 치아 발치 (진정요법 + 무통마취 병행)






2차 치료: 남아 있는 치아는 최대한 보존





3차 치료: 임플란트 7개 단계적 식립


4차 치료: 충치 부위는 크라운, 앞니는 브릿지 보철로 자연 복원




“이제는 치과가 무섭지 않아요.”

치료가 진행될수록 환자분의 긴장은 점점 완화되었습니다.

이제는 정기검진도 스스로 예약하실 만큼

치과에 대한 두려움을 완전히 극복하셨어요.








디에스다솜치과의 진료 철학

저희는 치료를 ‘의사가 일방적으로 하는 것’이 아니라

의사와 환자가 함께 만들어가는 협력의 과정이라 생각합니다.

그래서

매 진료마다 충분한 상담시간

불안 반응 시 즉시 진료 중단 및 호흡 안정

필요한 경우 최소 용량의 진정 약물 사용

이 모든 과정을 통해

치과 공포증이 있는 환자도

안전하고 편안하게 치료받을 수 있는 시스템을 갖추고 있습니다.






치과공포증, 통증, 긴장…

이제 혼자 고민하지 마세요.

당신의 속도에 맞춘 진료, 디에스다솜치과가 함께합니다.

 



 

블로그 상담예약 채널상담 오시는길