
안녕하세요,
치과의사 신운철입니다.
틀니를 오래 사용하시는 분들이 가장 많이 호소하는 것이
“조금만 움직여도 잇몸이 눌려 아프다”는 불편함입니다.
이번에 만덕치과로 검색하셔서 본원에 임플란트에 내원하신 70대 남성분도
바로 이 문제 때문에 식사 자체가 점점 어려워지고 있었습니다.
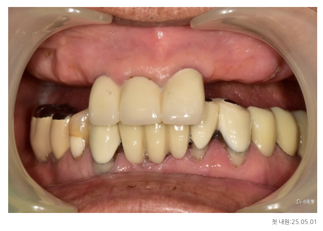
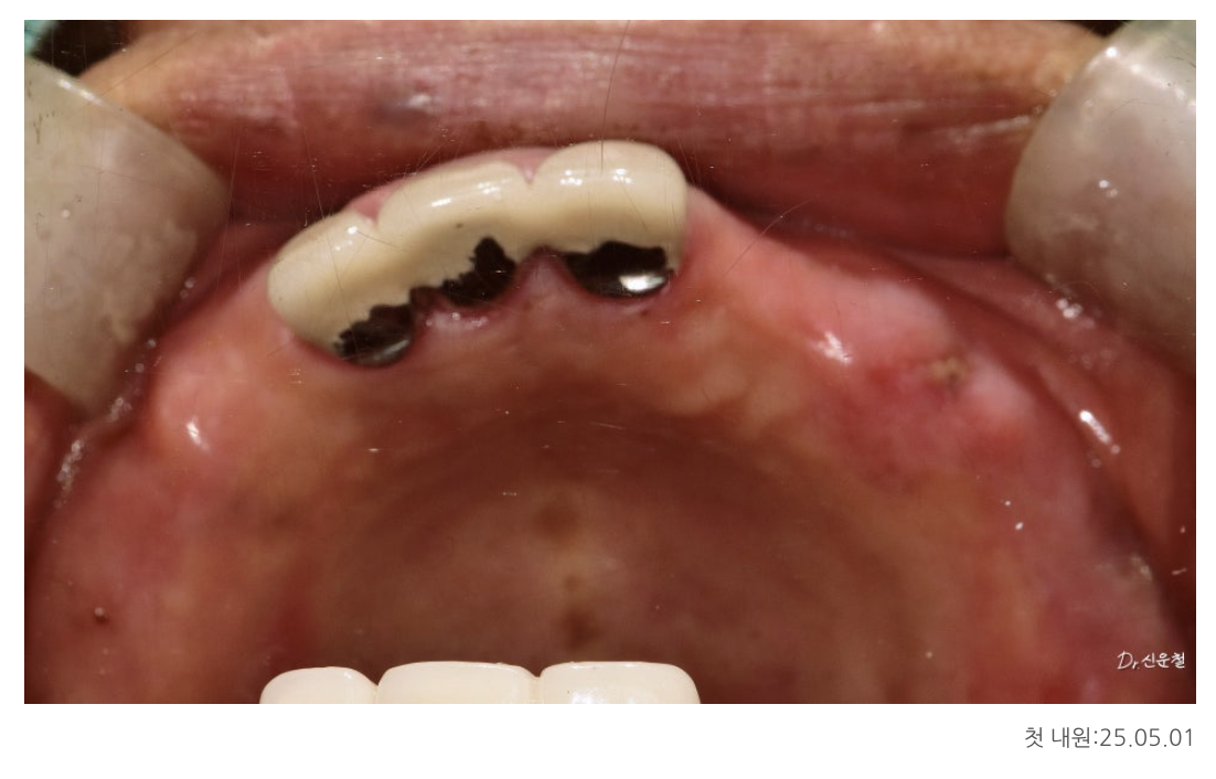
✔ 첫 내원 시 상태 (25.05.01)

앞니 세 개만 남아있는 상태
양쪽 어금니는 모두 상실
오래된 틀니 사용으로 잇몸뼈가 많이 닳아 있음
환자분의 첫 질문은 이것이었습니다.
“원장님, 전체를 다 임플란트로 해야 하나요?”
✔ 꼭 모든 치아를 새로 만들 필요는 없습니다.

진단 결과,
남아 있는 앞니 3개는 상태가 양호해 보존이 가능했습니다.
문제의 핵심은
양쪽 어금니가 빠져 생긴 “저작 불균형”
즉, 치아가 없는 범위만 정확하게 복원해주면
전체 임플란트가 필요하지 않은 상황이었습니다.
✔ 힘을 오래 버티는 ‘짧은 다리 구조’가 핵심

디에스다솜치과 임플란트에서는
“많이 심는 것”보다
오래 버티는 구조를 만드는 것을 원칙으로 합니다.
특히 위턱 뼈는 아래턱보다 부드럽고 힘을 받는 면적도 좁기 때문에
빠진 치아를 여러 개 한 줄로 길게 만들면
힘이 한쪽으로 쏠려 오래 버티기 어렵습니다.
그래서 우리는

임플란트 2개를 기둥으로 세우고
그 사이 치아 1개를 자연스럽게 연결하는 구조(다리 구조)를 선택했습니다.
이 방식은 수술 범위를 최소화하고
씹는 힘을 고르게 분산시키는 장점이 있습니다.
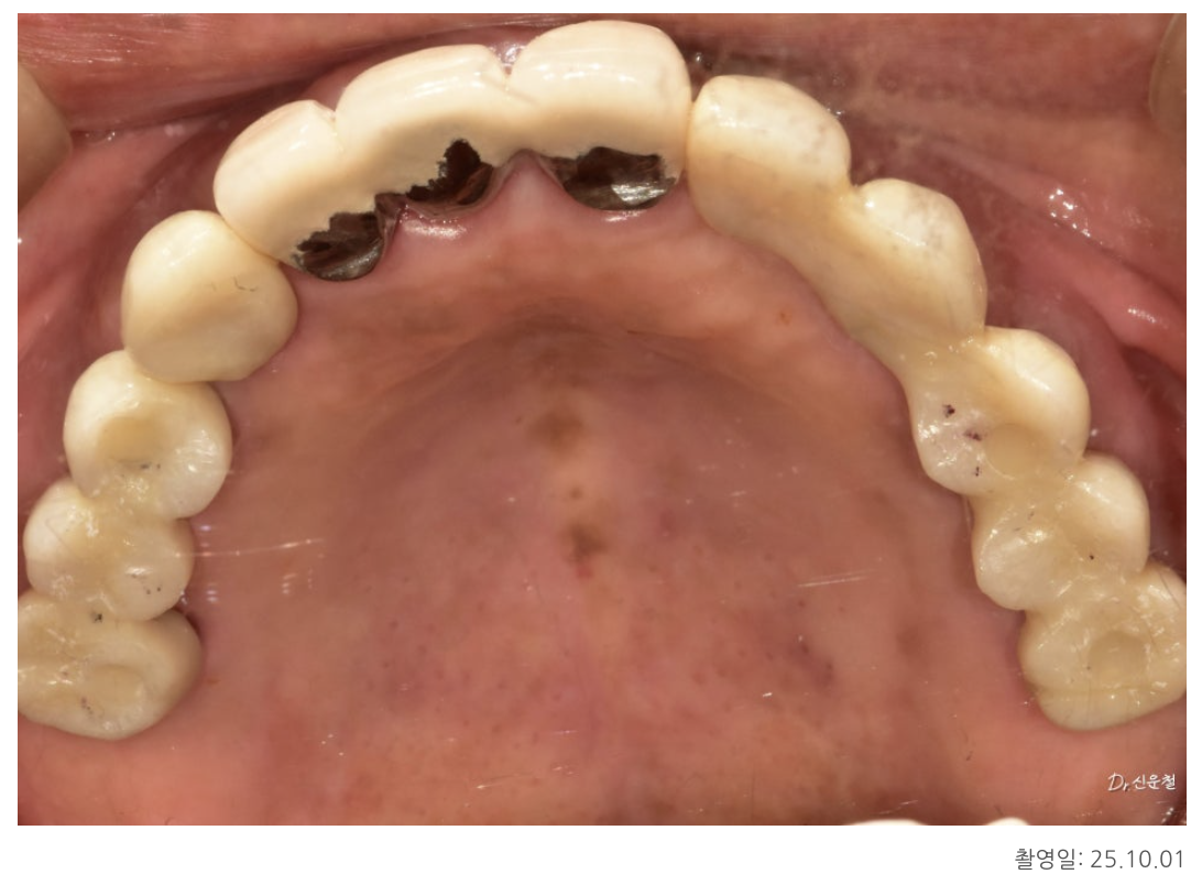
✔ 치료 방향: 총 6개의 임플란트로 기능 회복
치아 기능이 유지되는 아래턱의 범위를 기준으로
위턱 역시 좌우 6개 영역에서 맞춰 균형을 잡았습니다.

즉,
불필요하게 넓히지 않고
힘을 안전하게 지지할 수 있는 최소 범위만 복원했습니다.

[오른쪽 치료 과정]
4개 상실 → 임플란트 3개로 복원


오른쪽은 치아가 4개 연속으로 빠져 있었습니다.
하지만 이를 한 번에 길게 연결하면
힘이 집중되어 오래 버티기 어렵습니다.
그래서
✔ 뒤쪽 힘이 안정적인 두 자리에만 임플란트를 식립
✔ 3개 치아 역할을 할 수 있도록 다리 구조로 제작
했습니다.
남은 앞쪽 1개는 단독 임플란트로 자연스럽게 회복했습니다.


5개 상실 → 안정된 3개로 복원
왼쪽은 앞쪽부터 뒤쪽까지 총 5개가 빠져 있었습니다.
한 줄 길게 만들면
양 끝에서 서로 잡아당기는 힘 때문에 오래 버티기 힘들기 때문에
오른쪽과 동일하게
✔ 튼튼한 두 곳에만 임플란트 식립
✔ 그 사이 치아는 자연스럽게 연결하여 3개 회복
했습니다.


✔ 앞니 2개가 빠져 있어도 ‘캔틸레버’로 한 개만 심었습니다
앞니는 어금니처럼 강한 힘을 받지 않기 때문에
임플란트 1개로도 2개 역할이 충분합니다.

특히 70대 환자분의 경우,
두 자리 중 한 곳은 뼈가 얇아 수술 부담이 컸기 때문에
더 안정적인 위치에만 임플란트를 심고
옆 치아는 자연스럽게 연결했습니다.
캔틸레버(Cantilever):
한쪽만 기둥이 있고 옆 치아는 떠 있는 형태의 연결 방식.
이는
✔ 고령 환자에게 수술 부담을 줄이고
✔ 기능적으로도 매우 안정적입니다.
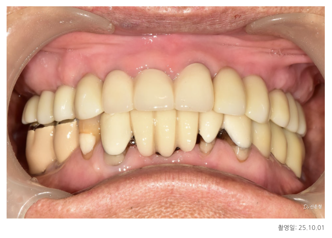
치료 결과

환자분은 치료 후
“이제 어느 쪽으로 씹어도 편하다” 고 가장 먼저 말씀하셨습니다.
전체적인 치아 복원에서 중요한 것은
치아를 얼마나 많이 만들었는가가 아니라,
“어디에 심어야 오래 버티는 구조가 되는가” 입니다.

디에스다솜치과 임플란트의 치료 원칙
✔ 무리하게 넓히지 않습니다.
✔ 뼈가 약한 자리에는 부담을 주지 않습니다.
✔ 남아 있는 치아는 최대한 살립니다.
✔ 고령 환자에게 ‘필요한 만큼’만 심습니다.
이 원칙 덕분에
환자분은 이제 틀니 없이
편안한 식사가 가능한 상태가 되었습니다.

치아가 여러 개 빠져 있다면?
전체를 할지, 일부만 하면 될지
직접 확인하는 것이 가장 정확합니다.
디에스다솜치과 임플란트는
불필요하게 많이 심는 치료가 아닌
각 환자의 뼈·습관·기능에 맞춘 안전한 구조를 찾아드립니다.
지금 고민 중이시라면
미루지 마시고 한번 상태를 확인해보세요.
생각보다 훨씬 간단한 해결책이 있을 수 있습니다.