안녕하세요.
연산동 임플란트·보철치료를 담당하고 있는 신운철 원장입니다.
치아는 겉으로 보기엔 멀쩡해 보이더라도,
오래된 보철물, 상실된 치아, 잘못된 양치 습관이
조금씩 쌓여 어느 순간 전체 밸런스를 무너뜨릴 수 있습니다.
이번 글에서는 실제로 연산역 인근에서 내원해주신
60대 남성분의 치료 과정을 예시로,
치아 하나가 빠졌을 때 왜 전체 위치가 변하고
교합이 무너지는지를 자세히 설명드리려고 합니다.

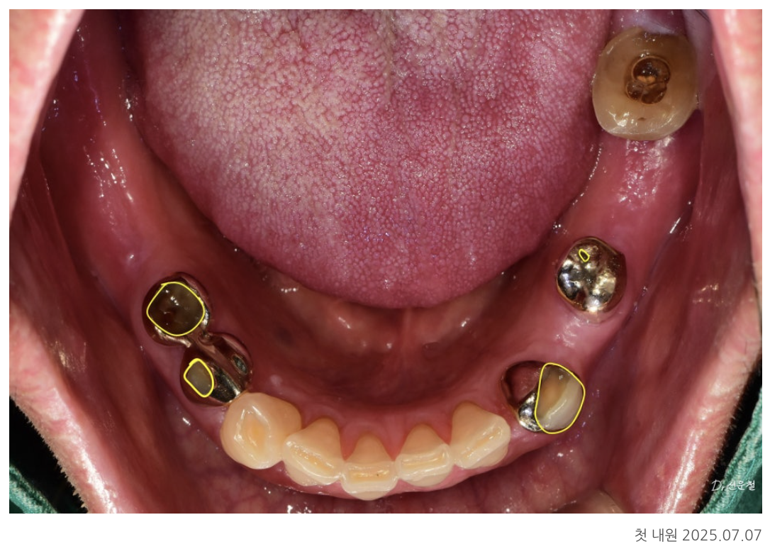
첫 내원: 치아 위치 변화와 시린 증상
내원 당시 환자분은
양치만 해도 치아 목이 시림
몇 개 치아가 제자리에서 벗어난 느낌
오래된 보철물에 대한 불편감
을 호소하셨습니다.
첫 촬영(파노라마·구강 사진)에서 크게 4가지 문제가 확인됐습니다.
① 아래 어금니 상실 → 위 치아 정출(내려옴)
오래전 빠진 아래 어금니 때문에
맞물리는 위 치아가 천천히 아래로 내려오는 정출이 진행되어 있었습니다.
치아는 상대 치아가 없어지면
균형을 잡는 힘이 사라져 자연스럽게 내려옵니다.
특히 어금니에서 정출되면 주변 치아까지 기울어지는 속도가 빠릅니다.


② 앞니가 제자리에서 벗어난 ‘전위 치아’
위 앞니는
잇몸 약화
치아 사이 공간 증가
한쪽 방향으로 반복된 씹는 습관
때문에 앞쪽으로 밀려 나온 상태(전위)였습니다.
③ 치아 목 부분의 치경부 마모

잘못된 양치가 오래되면
치아 목이 깎여 시린 증상이 심해집니다.
해당 환자분도 송곳니·작은 어금니 부위에서
눈에 띄는 패임이 확인됐습니다.
④ 오래된 보철물 내부 손상

오래 사용한 보철물(크라운)은
겉으로 멀쩡해 보여도
작은 틈이나 구멍으로 음식물과 세균이 침투할 수 있습니다.
이 경우 시간이 지나면
안쪽 치아가 다시 약해지며
충치·염증이 발생할 위험이 큽니다.
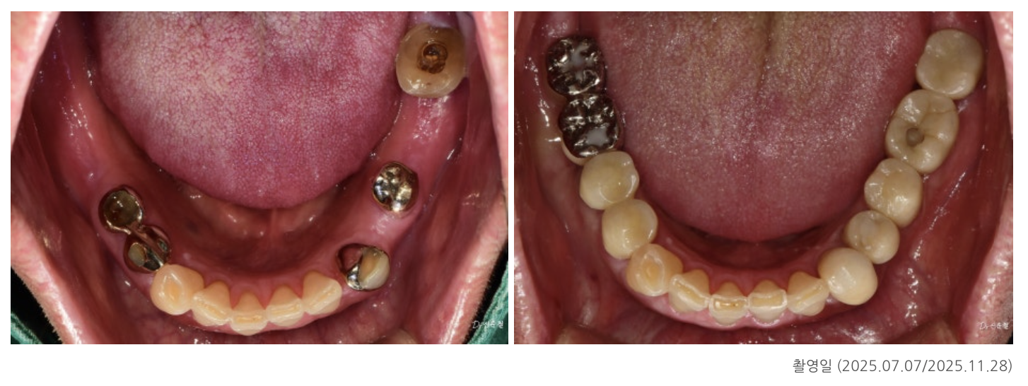
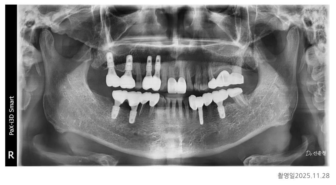
치료 단계: 연산역임플란트 기준으로 단계별 진행
여러 문제가 동시에 겹쳐 있어
가장 먼저 전체 균형을 잡는 치료부터 진행했습니다.
1단계: 상실된 치아 부위 임플란트 식립
임플란트는 단순히 ‘빠진 이를 채우는 것’이 아니라
무너진 씹는 힘의 균형을 다시 잡는 기둥 역할을 합니다.
치아가 빠진 상태로 오래 방치되면
반대편 치아는 내려오고
양옆 치아는 빈 공간 쪽으로 기울면서
전체 교합이 망가집니다.
환자분은 총 5개 부위에 임플란트를 먼저 식립했습니다.

2단계: 정출된 치아는 발치 후 임플란트로 교정
이미 많이 내려온 치아는
되돌리기보다 발치 후 임플란트로 위치를 재정렬하는 것이 안정적이었습니다.

3단계: 치경부 마모가 심한 치아는 발치 후 임플란트
치아 목이 깊게 닳아 내부 손상이 심한 경우
보존보다 임플란트가 장기적으로 안전합니다.
해당 치아는 발치 후 임플란트를 진행했습니다.

4단계: 앞니는 최대한 유지 → 브릿지로 위치 회복
앞니는 가능하면 빼지 않는 것이 원칙입니다.
위 앞니는
옆 치아와 연결해 브릿지로 위치를 제자리로 복원했습니다.

5단계: 오래된 보철물 제거 후 내부 상태 확인
보철물 표면만 보고 판단하면 안 됩니다.

X-ray로도 안쪽이 명확히 보이지 않기 때문에
보철물을 제거해 내부 충치·염증 여부를 직접 확인했습니다.

일부 치아는 세균이 뿌리까지 퍼져 신경치료
일부는 내부 충치 제거 후 새 보철물 제작
신경치료만 되어 있던 어금니는 크라운으로 보호
이렇게 단계적으로 정리했습니다.


최종 결과: 전체 균형을 다시 회복
임플란트와 보철 치료가 모두 자리 잡은 뒤
다시 촬영한 사진에서는
✓ 양쪽으로 균형 있게 씹을 수 있는 교합
✓ 앞니·어금니의 힘 분산 안정
✓ 정출·기울기 문제 해결
이 확인되었습니다.
이 환자분은 지금도
정기 점검을 통해 교합 균형을 유지하는 중입니다.

디에스다솜치과 임플란트는 ‘치아 하나’가 아닌 ‘전체 흐름’을 봅니다
치아 하나 빠지면 끝이 아니라
- 반대 치아가 내려오고
- 옆 치아가 기울고
- 앞니 위치까지 변할 수 있습니다.
이 환자분처럼 변화가 오래 누적되면
여러 치아에서 동시에 문제가 발생할 수 있습니다.
임플란트에서는 개별 치아만 보는 것이 아니라
전체 균형을 회복시키는 치료 방향을 기준으로 삼습니다.


연산동·연산역 인근에서는
임플란트·보철 진단을 예약제로 진행하고 있습니다.
치아 변화를 느끼신다면
촬영과 상담을 통해 현재 상태를 정확히 확인받아보시기 바랍니다.
