
안녕하세요. 디에스다솜치과 대표원장 신운철입니다.
요즘 상담을 하다 보면
“결혼 앞두고 점검만 받으러 왔어요.”
라고 말씀하시는 예비 신부·신랑분들이 많습니다.
결혼 준비는 보통 이렇게 시작됩니다.
피부 관리 / 다이어트 / 드레스 선택/ 웨딩 촬영
결혼식 일정 체크
치과는 대부분 맨 뒤로 밀립니다.
“지금은 안 아프니까 괜찮겠죠.”
하지만 통증은 날짜를 보고 오지 않습니다.
웨딩 촬영 직전, 신혼여행 직전,
갑자기 치아 통증이 시작되면
그때는 선택이 아니라 ‘응급’이 됩니다.
그래서 오늘은
결혼을 앞둔 분들이 반드시 확인해야 할 3가지를 정리해드립니다.

실제로 내원하신 30대 여성 환자분도
“아프진 않아요.”라고 말씀하셨습니다.

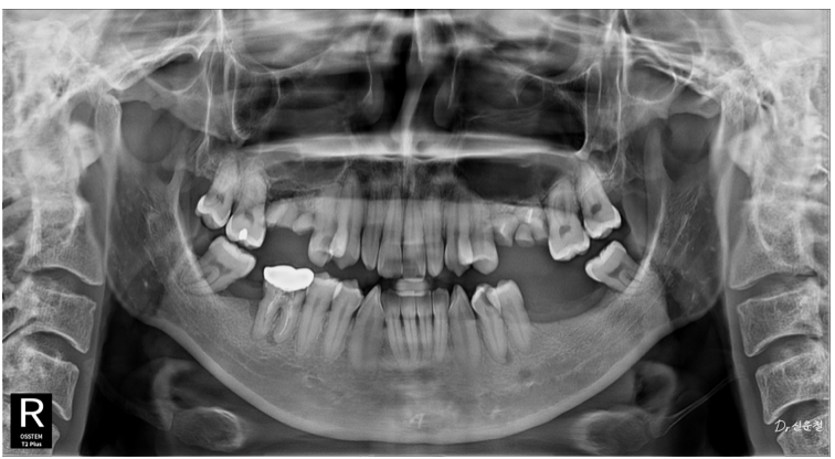
촬영일 250327
하지만 정밀 검진 결과, 깊게 진행된 사랑니 충치 뿌리만 남은 치아
잇몸뼈가 녹아 흔들리는 어금니 가 확인되었습니다.



통증이 없었던 것뿐,
문제는 이미 상당히 진행된 상태였습니다.
만약 웨딩 촬영 직전 증상이 악화됐다면
발치를 먼저 해야 하는 상황이었을 수 있습니다.
발치 후에는 회복 기간이 필요합니다.

그 사이에는 임시 보철물 / 임시 틀니
로 형태만 맞춰야 하는 경우도 있습니다.
문제는 이런 장치들이
색감이나 고정력에서 자연스럽지 않을 수 있다는 점입니다.
결혼을 앞둔 시기에는
“아프냐, 안 아프냐”가 아니라
“지금 상태가 어떤가”를 확인하는 것이 우선입니다.
앞니만이 아니라 ‘웃는 전체’를 보셔야 합니다
많은 분들이 이렇게 말씀하십니다.
“앞니만 조금 정리하면 될 것 같아요.”
하지만 상담을 이어가다 보면
진짜 고민은 따로 있습니다.

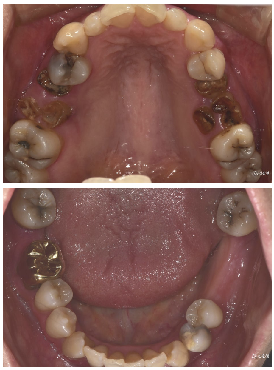
촬영일 : 250327
“사진 찍을 때 크게 못 웃겠어요.”
결혼식, 하객 인사, 웨딩 촬영.
평생 한 번뿐인 자리에서
입을 가리고 웃는 건 생각보다 큰 스트레스입니다.
웃을 때는 앞니만 보이지 않습니다.
어금니까지 함께 보입니다.
앞니 배열만이 아니라 어금니 충치, 보철 색감, 잇몸 라인까지
전체적인 밸런스를 함께 봐야 합니다.

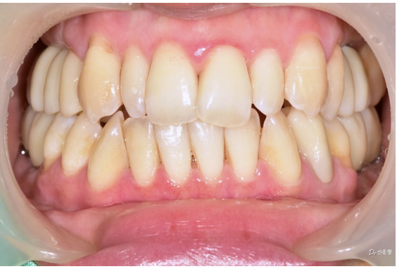
촬영일 : 250327
디에스다솜치과에서는
단순히 “보이는 앞니”만이 아니라
웃는 순간 전체가 자연스러운지를 기준으로 진단합니다.
결혼 날짜가 아니라 ‘치료 기간’을 먼저 계산하세요
임플란트, 신경치료, 사랑니 발치는
하루 만에 끝나는 치료가 아닙니다.

촬영일 : 250526
임플란트 → 뼈와 단단히 붙는 시간 필요
신경치료 → 보철 제작 기간 필요
결혼 날짜를 기준으로 치료 일정을 역산해 계획을 세워야 합니다.

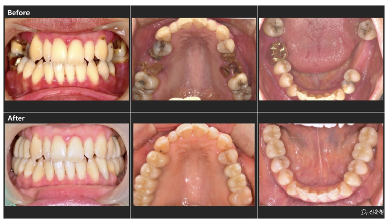
촬영일 : 251117 (임플란트 총 8개 식립 상태)
한 달 전이라면
선택할 수 있는 치료 범위는 상당히 줄어듭니다.
하지만 3~6개월 전이라면
충분히 계획적으로 진행할 수 있습니다.
치료는 서두르는 것이 아니라
일정에 맞추는 과정입니다.

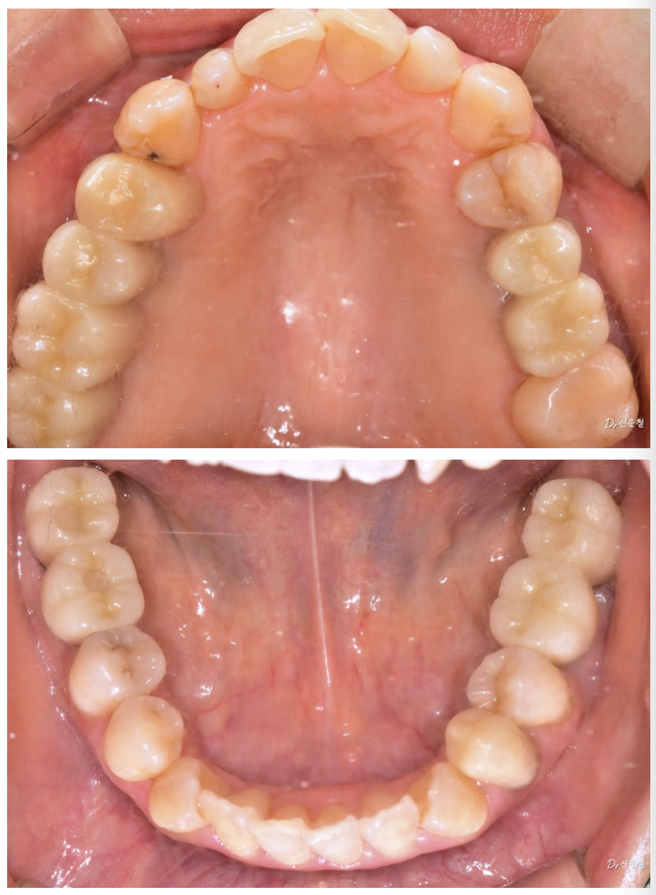
촬영일 : 260112
결혼식은 하루, 치아는 평생입니다
결혼식은 하루입니다.


치아는 보이지 않는 부분까지 함께 점검해야 합니다.
다솜치과에서는 일정에 맞춰 급하게 마무리하기보다,
현재 상태를 정확히 진단하고
선택 가능한 치료 범위를 설명드린 뒤
일정에 맞춘 계획을 세워드립니다.
결혼을 앞두고 있다면 치료는 충분히 가능합니다.
다만,
시기가 촉박할수록 선택지는 줄어듭니다.
미리 확인하면 선택할 수 있는 방법은 더 많아집니다.

사용된 사진은 환자분의 동의를 받고 촬영 및 게재된 자료 이며 치료 기간은 환자의 구강 상태 및 계획에 따라 달라질 수 있습니다.
[진료일 2025.03.27 - 2026.01.12]
임플란트 수술 후에는 일시적인 붓기나 통증이 나타날 수 있으며, 장기적으로 관리가 부족할 경우
윗몸 염증이나 임플란트 주위염이 발생 할 수 있습니다. 따라서 정기적인 검진과 철저한 강 관리가 필수적임을 안내드립니다.
이런 분들은 한 번 점검을 권합니다
부산·동래·온천장 지역에서 예식 예정인 예비부부
웨딩 촬영을 앞두고 있는 분
사랑니, 충치, 잇몸이 신경 쓰이지만 미뤄둔 분
사진 찍을 때 웃는 게 어색한 분
결혼 준비 체크리스트에
치과 검진도 함께 넣어보시길 권합니다.